
Harvard Medical School researchers have revealed new insights into the adaptations cancer cells make to rewire their metabolism to achieve growth and survive.
The discoveries, published in Nature Communications, include a challenge to a well-known feature in cancer metabolism and raise the call for tools to study cancer cell metabolism on a nearly single-cell level.
In the 1920s, Nobel laureate Otto Warburg observed that cancer cells metabolically adapt their glucose pathway in unusual ways.
Normally, glucose—the main nutrient needed for cells to function—is sent to the cell’s mitochondria to be broken down for energy, a process that requires oxygen.
Cancer cells, however, appear to rapidly increase their glucose uptake and directly ferment it into lactate, even in the presence of oxygen and functional mitochondria.
“He called it aerobic glycolysis, but we know it as the Warburg effect,” said the paper’s lead author Raul Mostoslavsky, the HMS Laurel Schwartz Professor in the Field of Oncology and scientific co-director of the Massachusetts General Hospital Cancer Center.
For nearly 15 years researchers have been trying to explain why cancer cells do this.
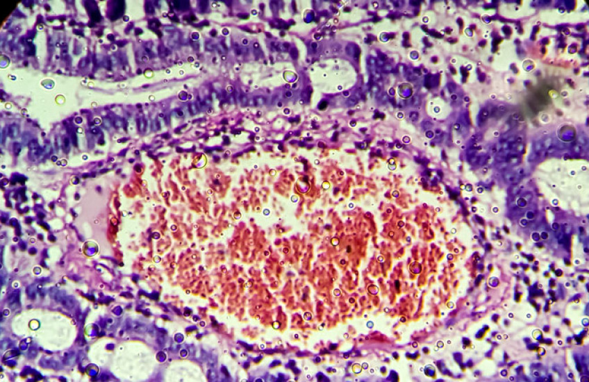
Mostoslavsky’s team studied colon cancer tumors to learn more, developing a fluorescent reporter that stained only a marker of glycolysis in cells of the tumor.
Using this reporter and a mass spectrometry imaging approach developed by collaborator Nathalie Agar, HMS associate professor of neurosurgery at Brigham and Women’s Hospital, the researchers found that not all cells within the colon cancer cell relied on Warburg glycolysis.
“We found that this metabolic adaptation does not happen in the whole tumor, only in a heterogeneous group that were not dividing,” said Mostoslavsky.
His team had previously published this heterogeneous feature in squamous cell carcinoma but this is the first time it has been shown in colon cancer and in nondividing cells.
“What really surprised us is that when we stained the tumor cells with a marker of cell proliferation, they were mutually exclusive,” added Mostoslavsky.
Within fully transformed colon cancers, the cells that were doing Warburg glycosis were not dividing.
“This completely challenges the dogma of the Warburg effect,” Mostoslavsky said.
For the past 10 to 15 years, most researchers working in cancer metabolism have held that cancer cells do Warburg glycolysis to send glucose for biomass production, or rapid proliferation.
“Instead, we found that the main reason they were doing it was to reduce reactive oxygen species, or ROS,” he said.
Reactive oxygen species damage cells during glucose breakdown and energy production. “The cells do Warburg metabolism to protect against accumulation of ROS,” Mostoslavsky said.
The research showed that indeed Warburg glycolysis is real and functional in cancer cells as a needed adaptation.
“But it’s not for the reason we used to think,” said Mostoslavsky. “This means we need to rethink how we are studying cancer metabolism.”
Much of the advancement made in the past 10 years studying cancer metabolism comes from mass spectrometry analysis of metabolomics, which require many cells. The problem is a lack of means for analyzing cellular heterogeneity.
“If metabolic adaptation happens in some cancer cells or not in others, you will not be able to determine that with the current technologies that exist,” Mostoslavsky said. “We now know Warburg glycolysis is a heterogeneous feature happening in tumors, so we need to develop tools that will allow us to investigate tumors in a single-cell fashion.”
In the paper, the team relied on a novel mass spectrometry imaging tool developed to achieve data almost at a single cell resolution.
“It is clear that cancer metabolism is highly heterogeneous, so we will need new tools like this to study and define these metabolic features in tumors,” said Mostoslavsky.
Additional authors include Christina Ferrer, Jee-Eun Choi, Manasvi Shah, Sylwia Stopka, Andrew Perciaccante, Niyata Desai, Diane Capen, Murat Cetinbas, Ruslan Sadreyev, Dennis Brown, Miguel Rivera, and David Breault.
This work was supported by grants from the National Institutes of Health, FPRC 5 per mille 2011 MIUR, FPRC 5 per mille 2014 MIUR, RC 2018 Ministero della Salute, and Horizon 2020: EU Programme for Research and Innovation.
Adapted from a Mass General news release.