Impact Insight

Research finds first direct evidence linking traumatic brain injury to neurodegenerative diseases

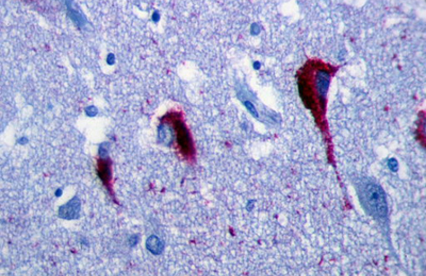
Image: Patho/Wikimedia Commons

Image: Patho/Wikimedia Commons

New research led by investigators at Harvard Medical School and Beth Israel Deaconess Medical Center provides the first direct evidence linking traumatic brain injury (TBI) to Alzheimer’s disease and chronic traumatic encephalopathy (CTE) offering the potential for early intervention to prevent the development of debilitating neurodegenerative diseases.

TBI can result from repetitive contact-sport injuries, or from exposure to military blasts, and is one of the most significant risk factors for both Alzheimer’s disease and CTE.

Get more HMS news here

In the study, published online edition in Nature and partially funded by the Football Players Health Study at Harvard University, the researchers found that a misshapen isoform of the tau protein can develop as soon as 12 hours after TBI, setting in motion a destructive course of events that can lead to widespread neurodegeneration.

Importantly, the researchers have developed a potent antibody that can selectively detect and destroy this highly toxic protein. 

“Alzheimer’s disease and chronic traumatic encephalopathy are terrible diseases that progressively rob individuals of their memory, judgment and ability to function,” said study co-author Alvaro Pascual-Leone, HMS professor of neurology and chief of the Division of Cognitive Neurology at Beth Israel Deaconess. 

Pascual-Leone also serves as associate director of the Football Players Health Study at Harvard University, a multi-year initiative to discover new approaches to diagnose, treat and prevent injuries in professional football players.

“TBI is a leading cause of death and disability in children and young adults and also affects approximately 20 percent of the more than 2 million troops who have deployed to Iraq and Afghanistan,” said co-senior author Kun Ping Lu, HMS professor of medicine and chief of the Division of Translational Therapeutics in the Department of Medicine at Beth Israel Deaconess.

“Our study shows that an early neurodegenerative process induced by the toxic tau protein can begin just hours after a traumatic brain injury," Lu said.

"In both cell models of stress and in mouse models simulating sport- and military-related TBI, the production of this pathogenic protein, called cis P-tau, disrupts normal neurological functioning, spreads to other neurons and leads to widespread neuronal death," Lu said.

"We have developed a potent monoclonal antibody that can prevent the onset of widespread neurodegeneration by identifying and neutralizing this toxic protein and restoring neurons’ structural and functional abilities,” he added.

Alzheimer’s disease is the most common form of dementia in older individuals and currently affects more than 5 million Americans and 30 million people worldwide.

Chronic traumatic encephalopathy is a degenerative brain disease associated with a number of neurological symptoms, including risk-taking, aggression and depression. CTE can also lead to progressive dementia.

Previous research has shown that abnormal phosphorylation of the tau protein underlies Alzheimer’s and other neurodegenerative diseases. In recent years, the Lu laboratory discovered that tau exists in two isoforms, or shapes — one functioning and one disease-causing.

“Healthy tau protein is found in the brain and serves to assemble and support microtubules, the ‘scaffolding systems’ that give neurons their unique shape and are integral to memory and normal brain functioning,” explained Lu.

But in Alzheimer’s, CTE and other neurodegenerative diseases, collectively called tauopathies, tau becomes tangled and unable to function properly.

“Recent studies of CTE in the brains of boxers, American football players and blast-exposed veterans have identified extensive neurofibrillary tau tangles,” he said. “But, because these tangles were not detected until months or, more likely, years after TBI, it has not been known whether tauopathy is a cause or a consequence of TBI-related neurodegenerative disease. We have now shown that it is a cause of these diseases.”

Co-senior author of the new study Xiao Zhen Zhou, HMS assistant professor of medicine at Beth Israel Deaconess, had previously developed polyclonal antibodies capable of distinguishing between two distinct isoforms of the phosphorylated tau protein.

The isoform known as trans is in a relaxed shape and is important for normal brain functioning. The other isoform, known as cis, is in a twisted shape and is prone to becoming tangled. Cis P-tau is an early pathogenic protein leading to tauopathy and memory loss in Alzheimer’s disease.

“In this new study, we wanted to find out whether cis P-tau is present following TBI and, if so, how to eliminate it from the brain without disrupting the healthy functioning of trans P-tau,” said Zhou. “We generated a monoclonal antibody able to detect and eliminate cis P-tau very early in the disease process.”

Monoclonal antibody technology is a popular drug development approach. Working like a lock and key, it enabled the investigators to both detect and neutralize only the toxic cis P-tau.

After confirming the existence of this toxic cis tau isoform in the brain tissue of humans who had died of CTE, the authors simulated contact-sport and blast-related injuries in mouse models and found that the brain’s induction of cis P-tau is dependent on injury severity and frequency.

“Mild TBI, also known as a concussion, results in moderate and transient cis P-tau induction,” explained Lu. “However, repetitive concussions, as might occur in contact sports, can result in robust and persistent cis P-tau induction. This is similar to what is produced following a single severe TBI caused by a blast or impact.”

Subsequent experiments revealed that the cis P-tau protein disrupts the brain’s microtubule scaffolding systems and the transport of mitochondria, the powerhouse that provides energy for neuronal function, and eventually leads to neuron death by apoptosis.

The research also showed that, over time, cis P-tau progressively spreads throughout the brain. Treating TBI with cis antibody eliminated the toxic cis P-tau, prevented widespread tauopathy and neuron death, and restored brain structure and function.

“These experiments told us that cis P-tau has the ability to kill one neuron after another, eventually leading to widespread neurofibrillary tangles and brain atrophy, which are the hallmark lesions of both Alzheimer’s disease and CTE,” said Lu.

“We have determined that cis P-tau is an early driver of neurodegenerative disease after brain injury and that tauopathy is a cause of TBI-related Alzheimer’s disease and CTE. We have also determined that the cis antibody can treat TBI and prevent its long-term consequences in mouse models. The next important steps will be to establish cis P-tau as a new biomarker to help enable early detection and to humanize the cis antibody for treating patients with TBI,” he said.

“High-profile cases of CTE, such as that of the late football player Junior Seau, have vividly demonstrated the tragic consequences of this affliction,” Pascual-Leone said. “We need to learn more about CTE’s causes in order to develop better ways of diagnosing and treating it, and this study offers us a promising early intervention to prevent the pathologic consequences of this disease. These findings additionally offer us a new way to approach Alzheimer’s disease, which poses a staggering unsustainable burden throughout the world. Alzheimer’s afflicts both individuals and their families and deprives society of the contributions of experienced and wise elders.”

The study was also funded, in part, by National Institutes of Health grants (T32HD040128, UO1NS86659-01; P30AG13846; R01AG029385, R01CA167677; RHL111430; R01AG046319), grants from the Alzheimer’s Association and from the Football Players Health Study at Harvard University, a research partnership with the National Football League Players Association.

Lu and Zhou have interests in Pinteon Therapeutics, Inc., which has licensed Pin 1 technology from Beth Israel Deaconess.

Adapted from a Beth Israel Deaconess news release.