At a glance

  • Brain scans of human subjects revealed regions of the cerebellum that are involved in language processing.

  • The study is part of a broader effort to learn about the brain’s extended language network, which has previously been overlooked. 

  • The findings could also open up new avenues for treating language disorders. 

For more than a century, scientists studying how the brain processes language have primarily focused on the cerebral cortex, a higher-order brain region that carries out complex cognitive tasks.

But there is another less well-studied collaborator in language processing: an evolutionarily ancient brain structure known as the cerebellum.

Get more HMS news

Now, a team led by researchers at Harvard Medical School, Harvard University, and MIT is probing the details of the cerebellum’s contribution to language processing.

The scientists performed brain scans on human subjects engaged in language and nonlanguage tasks and found evidence that regions of the cerebellum are involved in language processing. Specifically, they identified four regions that responded to language in some way — including one that responded exclusively to language.

“When you put someone in a scanner and have them listen to a story or read a sentence, you consistently see the cerebellum light up,” said lead author Colton Casto, a Harvard Kenneth C. Griffin Graduate School of Arts and Sciences doctoral student in the Speech and Hearing Bioscience and Technology (SHBT) program at HMS.

The research provides new insights into how regions of the cerebellum process language — and suggest that this processing may happen differently than language processing in the cerebral cortex.

Casto sees the work as part of a broader effort to chart the brain’s extended language network — the brain areas outside the cerebral cortex that are recruited for language processing.

The findings could also have implications for treating aphasia or other language disorders, Casto said, by providing another area of the brain to target.

The findings were published Jan. 22 in Neuron.

Unraveling language processing in the cerebellum

Previous studies have reported that the cerebellum, which is most well-known for coordinating the body’s movements, is also involved in language. However, scientists still don’t know whether the cerebellum contains regions dedicated solely to linguistic processes and how these processes work.

To address this gap, a team led by senior author Evelina Fedorenko, associate professor at MIT and a faculty member in HMS’ SHBT program, set out to systemically characterize the regions of the cerebellum that respond to language. The team asked a basic question: What do these regions contribute to language processing?

The researchers used functional magnetic resonance imaging (fMRI) to examine brain activity in more than 800 human participants performing 26 different tasks, including reading, listening, speaking, solving math problems, completing memory exercises, and processing visual stimuli. They then compared how different regions of the cerebellum responded to linguistic and nonlinguistic demands.

Importantly, the team localized language-responsive regions within each participant’s cerebellum before examining how those individualized regions responded across tasks. This individual-level analysis provided a clearer picture of the cerebellum’s involvement in language than previous studies that averaged brain activity across many participants.

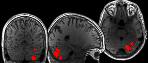
Three views of a gray brain scan with bright red spots on a black background

fMRI scans showing language regions of the cerebellum in a human brain. Areas in red highlight regions that reliably respond to language, viewed from the back (left), side (middle), and top (right) of the brain. Image: Colton Casto

The team found that four different regions in the cerebellum respond to language — but not all in the same way. One region responded solely to language, in a similar manner as language areas in the cerebral cortex. The remaining three regions responded to language but were also active during motor tasks, demanding nonlinguistic tasks, and/or the processing of meaningful visual stimuli.

The researchers described this pattern as “mixed selectivity,” and think that it might reflect a distinctive type of information processing.

“These are unusual patterns that we don’t really see in the cortex,” said Casto, who is also a graduate fellow at the Kempner Institute for the Study of Natural and Artificial Intelligence at Harvard University.

The researchers also suggested that mixed selectivity could be evidence that these cerebellar regions integrate linguistic and nonlinguistic information coming from the cerebral cortex — an exciting possibility given that few mechanisms have been proposed for how this kind of integration takes place.

According to Casto, existing clinical evidence indicates that the cerebellum’s contributions to language processing differ from those of the cerebral cortex in important ways. For example, damage to cortical language regions can result in a profound loss of language ability called global aphasia. By contrast, damage to the cerebellum tends to produce subtler language impairments — which may be one reason its role in language processing has been overlooked.

Implications for language and beyond

The findings raise intriguing questions for further research, including how language regions in the cerebellum interact with cortical networks and how the contributions of these regions to language processing might change during human development.

Understanding language processing in the cerebellum may also open up new treatment avenues for language disorders, such as aphasia resulting from stroke.

The results may also indirectly inform future work in artificial intelligence.

“I’m very interested in developing more biologically inspired architectures for language models,” Casto said. “My hope is that in five to ten years — as our understanding of the neural architecture of language evolves — we will be able to design more efficient and reliable artificial systems.”

While the implications for future AI systems remain to be investigated, the study’s significance for neuroscience is clear: Language processing is supported by a network that extends well beyond the cerebral cortex, and the cerebellum is a key player.

Adapted from a Kempner Institute news story.

Authorship, funding, disclosures

Additional authors on the study include Moshe Poliak, Greta Tuckute, Hannah Small, Patrick Sherlock, Agata Wolna, Benjamin Lipkin, and Anila M. D’Mello.

Funding for the research was provided by a Kempner Institute graduate fellowship, a K. Lisa Yang ICoN Center graduate fellowship, the McGovern Institute for Brain Research at MIT, the National Science Foundation (GRFP DGE2139757; GRFP DGE2141064), a Simons Foundation Autism Research Initiative (SFARI) Bridge to Independence Award, the National Institutes of Health (R01-DC016607; R01-DC016950; U01-NS121471), the MIT Siegel Family Quest for Intelligence, the MIT Department of Brain and Cognitive Sciences, and the Simons Center for the Social Brain at MIT.