Grid of nine images featured in the news stories on this page

Amid unprecedented challenges to research and higher education at Harvard University and across the United States this year, Harvard Medical School scientists continued to push the boundaries of biomedical discovery and health care delivery.

Get more HMS news

Studies conducted at HMS and its affiliated hospitals — often in collaboration with other research institutions and biopharmaceutical companies — deepened understanding of human biology, illuminated mechanisms of common and rare diseases, contributed to development of new treatments and diagnostic tools, and worked to ensure that the best care is accessible to all people.

Here are the 10 most-read news stories about HMS-led discoveries in 2025.


Bright arc of purple and red tau

Could Lithium Explain — and Treat — Alzheimer’s Disease?

HMS researchers showed for the first time that lithium occurs normally in the brain and shields it from neurodegeneration — and that on the flip side, lithium loss in the human brain is one of the earliest changes leading to Alzheimer’s disease, while similar depletion in mice accelerates brain pathology and memory decline. The team also identified a novel lithium compound that restored memory in mouse models.

The results unify decades-long observations in patients, providing a new theory of the disease and a new strategy for early diagnosis, prevention, and treatment.

“My hope is that lithium will do something more fundamental than anti-amyloid or anti-tau therapies, not just lessening but reversing cognitive decline and improving patients’ lives,” said senior author Bruce Yankner, professor of genetics and neurology in the Blavatnik Institute at HMS.

Published in Nature.


Overhead view of an empty hospital bed with blue sheets, surrounded by privacy screens, with an IV stand on one side and a small table with supplies on the other.

Deaths Rose in Emergency Rooms After Hospitals Were Acquired by Private Equity Firms

Patient death rates increased in the emergency departments of U.S. hospitals acquired by private equity firms compared to similar hospitals not acquired by private equity, and acquired hospitals experienced large cuts in staffing and salaries, according to a nationwide study of hundreds of hospitals conducted by researchers at HMS, the University of Pittsburgh, and the University of Chicago. The findings offered more concrete evidence that this for-profit ownership model of health care has led to higher patient mortality.

“Among Medicare patients, who are often older and more vulnerable, this study shows that those financial strategies [of staffing cuts] may lead to potentially dangerous, even deadly consequences,” said senior author Zirui Song, associate professor of health care policy at HMS.

Published in Annals of Internal Medicine.


Photorealistic illustration of a wheel with a horse at the center and the word “horse” in different languages along the rim

Ancient-DNA Study Identifies Originators of Indo-European Language Family

A pair of international ancient-DNA studies genetically identified the originators of the massive Indo-European family of 400-plus languages. Building on decades of work by linguists, archaeologists, and geneticists, the findings provided the missing piece from the century-old “steppe hypothesis,” which positions the birthplace of Indo-European languages on the Eurasian steppe, where Russia and Ukraine stand today. The findings enrich our knowledge of the history and interconnectedness of human populations.

“It’s the first time we have a genetic picture unifying all Indo-European languages,” said co-first author Iosif Lazaridis, research associate in human evolutionary biology in the lab of co-senior author David Reich, professor of genetics at HMS.

Both papers were published in Nature.


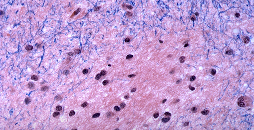
Brain tissue in Huntington’s disease

New Understanding of How Genetic Mutation Causes Huntington’s Disease

A study led by scientists at HMS, the Broad Institute of MIT and Harvard, and McLean Hospital explained why Huntington’s disease symptoms typically do not appear until midlife even though patients are born with the mutation. The team’s analyses revealed that the repeated DNA sequence driving the disease expands slowly over decades in certain brain cells and then rapidly lengthens and kills the cell. The findings offer a new way to understand and perhaps treat Huntington’s and other disorders involving abnormal DNA repeats.

“It’s only when the repeat becomes extremely long that it begins to cause harm. This is a really different way of thinking not only about how Huntington’s disease develops but also about how a mutation brings about a disease,” said co-senior author Steve McCarroll, the Dorothy and Milton Flier Professor of Biomedical Science and Genetics at HMS.

Published in Cell.


Animation of a brain submerged in water and a human sitting on top clutching their head in their hands.

Inflammation and the Brain: How Immune Activity Can Alter Mood and Fuel Anxiety

In two studies in mice, scientists from HMS and MIT detailed the steps of a brain-immune crosstalk that illuminates why some people experience prolonged emotional dysregulation and changes in behavior after an infection or autoimmune disease flare-up. The work showed how immune system molecules called cytokines interact with specific brain cells to regulate mood, anxiety, and social behavior.

“We hope these insights could eventually lead to new treatments for conditions like autism and anxiety disorders,” said co-senior author Jun Huh, associate professor of immunology at HMS.

Both papers were published in Cell.


A close-up of glass containers with liquid medication and a syringe

Kidney Cancer Vaccine Shows Promise in Early Trial

A personalized vaccine generated a robust immune response in a small clinical trial of nine patients with advanced kidney cancer, reported a team led by HMS researchers at Dana-Farber Cancer Institute and the Broad Institute. Although the phase 1 trial was designed only to determine the safety and optimal dosage of the treatment, the early findings raise hope that an anti-tumor vaccine is feasible for patients with kidney cancer at high risk of recurrence.

“We’re very excited about these results, which show such a positive response,” said co-senior author Toni Choueiri, the HMS Jerome and Nancy Kohlberg Professor of Medicine at Dana-Farber.

Published in Nature.


A network of thin red lines on skull-shaped gray background

How the Brain Increases Blood Flow on Demand

A study in mice led by neurobiologists at HMS provided long-awaited insight into how the brain directs blood to active areas where oxygen and nutrients are needed to carry out tasks such as remembering, solving problems, and making decisions. The team’s discovery of a “coordinated signaling highway” in the inner lining of brain blood vessels could advance understanding of neurodegenerative diseases and improve interpretation of brain imaging.

“If we don’t know how this system operates on a biological level, we won’t know how to fix it when it goes wrong,” said co-first author Trevor Krolak, a PhD student in the lab of senior author Chenghua Gu, professor of neurobiology at HMS.

Published in Cell.


A gloved hand holds a Petri dish with bacteria growing in it

Drawing a Line From the Gut Microbiome to Inflammation and Depression

HMS researchers offered an explanation of how the gut bacterium Morganella morganii might contribute to some cases of major depressive disorder. They found that an environmental contaminant interacts with a molecule the bacterium makes, stimulating inflammation. The findings offer a new target for diagnosing or treating certain cases of the disorder and provide a roadmap for probing how other members of the gut microbiome influence human health and behavior.

“There is a story out there linking the gut microbiome with depression, and this study takes it one step further, toward a real understanding of the molecular mechanisms behind the link,” said senior author Jon Clardy, the Christopher T. Walsh, PhD Professor of Biological Chemistry and Molecular Pharmacology at HMS.

Published in the Journal of the American Chemical Society.


Three images of human brains/spinal cords superimposed onto a green motherboard.

An AI System With Detailed Diagnostic Reasoning Makes Its Case

An AI “diagnostician” called Dr. CaBot, in development at HMS, made its debut alongside a human clinician in the New England Journal of Medicine’s historic case study series — the first time the journal published an AI-generated diagnosis. The algorithm was designed to spell out its reasoning as it works through challenging medical cases and reaches a diagnosis. The tool holds potential for use in medical education and research.

“We wanted to create an AI system that could generate a differential diagnosis and explain its detailed, nuanced reasoning at the level of an expert diagnostician,” said Arjun (Raj) Manrai, assistant professor of biomedical informatics at HMS, who created Dr. CaBot with PhD student Thomas Buckley.

Published in NEJM.


3-D illustration human digestive system focusing on the small and large intestine.

Study Identifies Gut Sensor That Propels Intestines To Move

A team led by researchers at HMS and the Icahn School of Medicine at Mount Sinai identified a mechanism that drives peristalsis — the contractions and relaxations that move food through the intestines. They found in mice that gut motility is altered by exercise, pressure, and inflammation and that a pressure-sensing protein called PIEZO1 coordinates intestinal movements and keeps inflammation at bay. If replicated in humans, the findings could inform the design of precision treatments for gut conditions.

“Eventually, we might stimulate PIEZO1 to speed up excretion, block it to treat diarrhea, or use it as a novel target to treat intestinal inflammation in inflammatory bowel disease patients,” said co-senior author Ruaidhrí Jackson, assistant professor of immunology at HMS.

Published in Cell.

Image credits from top left: Yankner Lab; petrovv/Getty Images, Maya Rucinski-Szwec; Oliver Uberti; Broad Institute; Cemile Bingol/Getty Images; aydinmutlu/Getty Images; mr.suphachai praserdumrongchai/iStock/Getty Images Plus; Ajay Kumar Chaurasiya/CC BY-SA 4.0; gremlin/Getty Images; myboxpra/iStock/Getty Images Plus

More 2025 highlights

See top HMS moments on Instagram.